القدم الحنفاء بالصور

برعاية sponsered by
القدم الحنفاء

القدم الحنفاء

القدم الحنفاء هو تشوه خلقي ولادي يصيب إحدى قدمي الطفل أو كلتيهما، وهي حالة تكون فيها قدم أو قدمين الطفل ملتوية إلى الأسفل وإلى الداخل، بحيث تكون راحة القدم مواجهة للأخرى، بدلًا من أن تكون مستقيمة، وتعد هذه المشكلة شائعة الحدوث، وتؤثر بشكل أساسي على عظام وعضلات وأورتار القدمين، حيث تكون أوتار الساق للقدم المصابة أقصر من الأخرى الأمر الذي يؤدي إلى اعوجاجها والتفافها.

أعراض القدم الحنفاء

أعراض القدم الحنفاء

  1. تكون الجهة الخارجية للقدم ملتفة إلى الداخل، (قد يكون الالتفاف بسيط أو حاد جدًا).
  2. تقوس والتفاف كعب القدم.
  3. نقص في نمو عضلات الساق المصابة.
  4. قصر في طول الساق المصابة مقارنة بالأخرى في حال كانت الأخرى سليمة.
  5. لا تسبب القدم الحنفاء أي إزعاج أو الشعور بالألم في غالبية الحالات.
  6. لا يرافق هذه الحالة أي اضطرابات أخرى لدى معظم الأطفال، ومع ذلك قد يرافقها اضطرابات خلقية أخرى مثل السنسنة المشقوقة لدى البعض الآخر.
أسباب القدم الحنفاء

أسباب القدم الحنفاء

لم يتم اكتشاف الأسباب الحقيقة وراء حدوث مشكلة القدم الحنفاء، ومع ذلك يعتقد أنها قد تحدث نتيجة وجود بعض المشكلات الوراثية أو عوامل بيئية.

عوامل الخطر

عوامل الخطر

  1. إصابة أحد الوالدين بالمشكلة.
  2. قلة كمية السائل السلوي خلال فترة الحمل.
  3. وجود تشوهات خلقية في الهيكل العظمي، مثل: خلع الورك الولادي، أو السنسنة المشقوقة.
  4. تدخين الأم أثناء الحمل.
  5. الذكور أكثر عرضة من الإناث للإصابة بهذه المشكلة.
مضاعفات طفيفة للقدم الحنفاء

مضاعفات طفيفة للقدم الحنفاء

  • صغر مقاس القدم المصابة.
  • صغر حجم ربلة الساق المصابة.
  • صعوبة بالحركة بسبب قلة مرونة عضلات الساق.
مضاعفات خطيرة للقدم الحنفاء

مضاعفات خطيرة للقدم الحنفاء

  • المشي على الجزء الجانبي للقدم وفي حالات الالتفاف الشديد قد يمشي الطفل على الجهة العليا للقدم بدلًا من أخمص القدم.
  • الإصابة بالتهاب المفاصل.
  • الإصابة ببعض الاضطرابات نفسية وخاصة خلال مرحلة المراهقة.
  • المشي بطريقة غير طبيعية قد يتسبب بحدوث مشكلات أخرى، مثل: ضعف نمو عضلات الساق، وندبات وتقرحات في القدم.
تشخيص القدم الحنفاء

تشخيص القدم الحنفاء

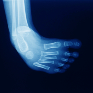
عادة تكون الإصابة بالقدم الحنفاء واضحة عند لحظة الولادة، بالإضافة يمكن الكشف عن هذه المشكلة حتى قبل ولادة الطفل، حيث يمكن تحديدها في منتصف الثلث الثاني من الحمل بواسطة السونار. قد يوصي الأطباء بإجراء بعض الفحوصات التصويرية مثل الأشعة السينية، للتحقق من حالة العظام ومدى شدة الحالة.

علاج القدم الحنفاء

علاج القدم الحنفاء

من الضروري البت بالعلاج مبكرًا (أي بعد أسبوع أو أسبوعين بعد الولادة)، وذلك لأن عظام وعضلات الطفل مرنة للغاية:

  1. طريقة بونستي، وتتضمن محاولة تعديل وضع القدم المصابة وتثبيتها بجبيرة، وتكرر هذه العملية أسبوعيًا.
  2. ارتداء الطفل الأحذية أو الدعامات خاصة بالمشكلة.
  3. تدليك قدم وساق الطفل.
  4. الجراحة في الحالات الشديدة
الدعامات الخاصة بمشكلة القدم الحنفاء

الدعامات الخاصة بمشكلة القدم الحنفاء

توضح الصورة المرفقة شكل الدعامات الخاصة بمشكلة القدم الحنفاء، والتي تساعد الطفل على الحفاظ على الوضع السليم للقدم بعد الخضوع لطريقة بونستي، وعادة يبقى الطفل يستخدم هذه الدعامة لمدة قد تصل إلى بضع سنوات.

من قبل د. نور فائق